Dr. Rodrigo Hernández Malagón

Dr.  Rodrigo Hernández Malagón
Dr. Rodrigo Hernández Malagón

jueves, 27 de marzo de 2014

Ipsilateral Fracture Shaft Femur with Neglected Dislocation of Prosthesis: A Case Report

Ipsilateral Fracture Shaft Femur with Neglected Dislocation of Prosthesis: A Case Report

Ipsilateral Fracture Shaft Femur with Neglected Dislocation of Prosthesis: A Case Report

Ipsilateral Fracture Shaft Femur with Neglected Dislocation of Prosthesis: A Case Report








What to Learn from this Article?

An unique
decision making scenario highlighting an equally important role of
surgeons skills and Patients Preferences in Clinical Decision Making.




Case Report |  Volume 3 | Issue 4 | JOCR Oct-Dec 2013 | Page 26-30 | Jain M, Bihari AJ, Sriramka


DOI: 10.13107/jocr.2250-0685.127



Authors: Jain M[1], Bihari AJ[1], Sriramka[2]


[1]Department of Orthopaedics, Hitec medical college and Hospital, Rourkela, Odisha, India.


[2]Department of Anesthesia, Ispat General Hospital, Rourkela, Odisha, India.


Address of Correspondence:


Dr Mantu Jain, 347/J, Janata Colony, Gudiyari, Raipur, Chhattisgarh. India. E mail: montu_jn@yahoo.com



Abstract
Introduction: Neglected
hip dislocation is rare in today’s world and after prosthesis
replacement even rarer finding. However such patients may not report to
surgeons until they develop secondary complications. Management of such
patient’s is a challenge to the treating surgeon and need to be tailored
suiting to patient’s demands, expectations and constraints of financial
resources. We did not find a similar case in the electronic and print
media and therefore report this case which was innovatively managed.



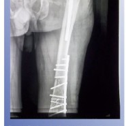
Case Report: A
60 year farmer presented with fracture shaft femur and ipsilateral
dislocation prosthesis of right hip. He had a hemiarthroplasty done for
fracture neck of femur in the past but used to walk with a lurch since
he started to ambulate after discharge. However he was satisfied despite
“some problems” which had caused shortening of his limb. The patient
was informed of the various treatment options and their possible
complications. He expressed his inability to afford a Total Hip
Arthroplasty (THA) at any stage and consented for other options
discussed with him. The patient was positioned supine and adductor
tenotomy done. Next he was positioned laterally and the fracture was
fixed with heavy duty broad dynamic compression plate and screws. The
wound was temporarily closed. Now through the previous scar via
posterior approach the hip was exposed. The prosthesis was found to be
firmly fixed to the proximal femur. The acetabulum was cleared with
fibrous tissue. All attempts the prosthesis to relocate the prosthesis
failed after several attempts and it was best decided to leave alone.
Post operatively period was uneventful. At follow up he refused for any
further manoeuvre in future inform of heavy traction and attempts to
reduce the same. At one year when he was walking unaided and his X-rays
showed that fracture had well united his SF-36 score was PCS – 49.6 and
MCS – 51.9.



Conclusion: Ipsilateral
shaft femur fracture in chronically dislocated prosthesis, done for
fracture neck of femur is a rare clinical entity. Increased stress
transfers due to dislocation compounded with osteoporosis makes the
shaft vulnerable to fracture even with low velocity injury as in our
case. Though fixation of fracture shaft femur is clear and
straightforward; management of neglected prosthesis dislocation have to
be guided by patient’s level of expectations and subjective contentment
to adaptation to the altered hip state which influence the overall
functional outcome.



Keywords: Neglected dislocation, ipsilateral femoral fracture, hip arthroplasty.

No hay comentarios:

Publicar un comentario